George House Dental Laboratory

High end dentures for modern practises

Established since 1979, George House Dental Laboratory has produced over 4 decades of NHS and private restorations. We pride ourselves in beautifully hand-crafted dentures and crown and bridge work offering service and quality second to none. We maintain our long tested policy of putting the client and patient first.

Prothetics

Digital Dentures

Full and partial dentures
chrome cobalt part dentures.

Crown and Bridge

Full range cosmetics

Porcelain Bonded / CAD/CAM Zirconia / Emax restorations.

Other Products & Services

We offer a range of services and products tailored to your needs.

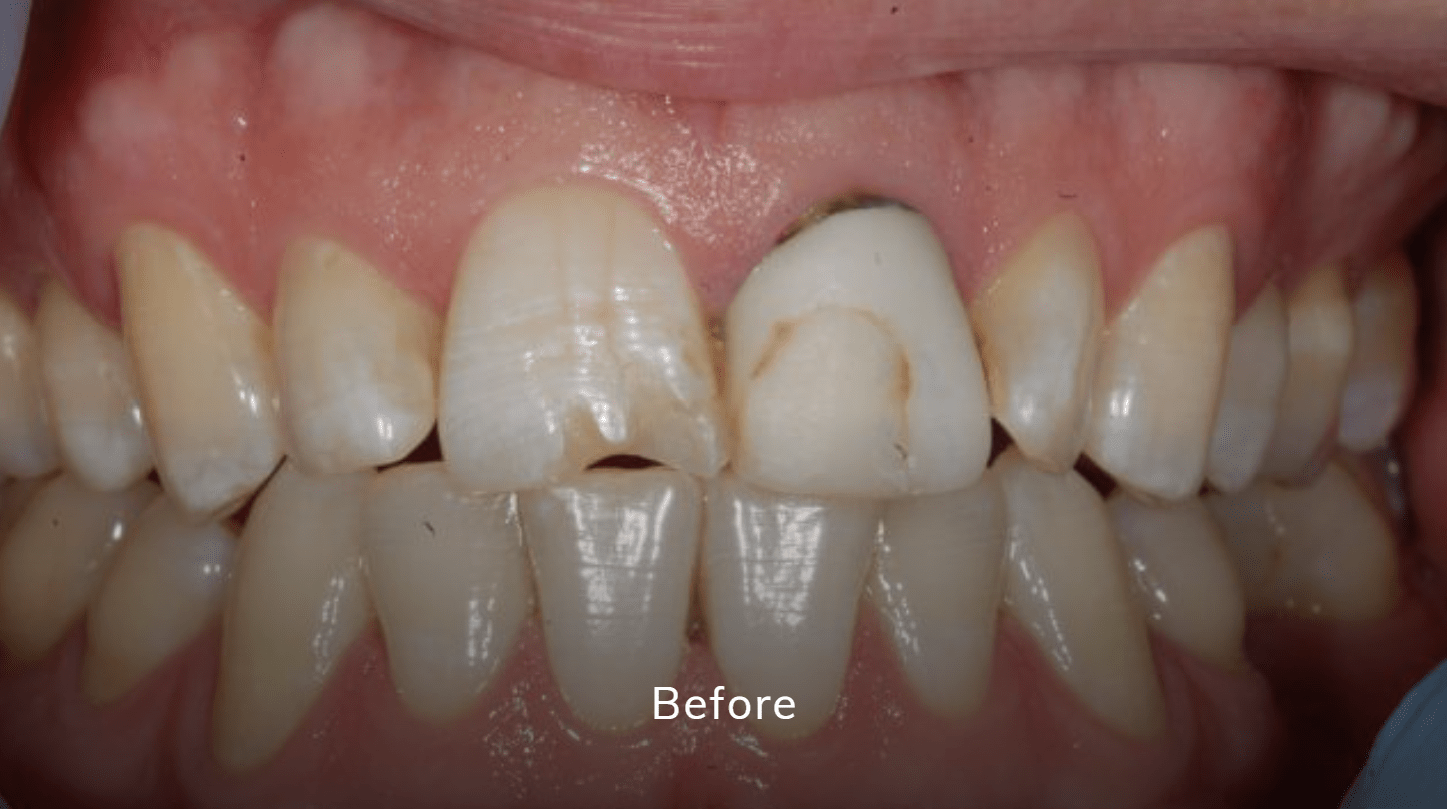
Patient Case Studies

Why Choose our Digital Dentures

Why Choose Us?

Cosmetic Focus

We specialise in high-end aesthetic restorations, including veneers, crowns, and full smile makeovers.

Premium Materials

We work with materials like Kiori, zirconia, e.max, and Multilink cementation for reliable, natural-looking results.

Experienced Team

Our technicians bring years of expertise to every case, with key staff members at George house.

Digital Capability

We support digital workflows, including intraoral scan files, CAD/CAM design, and virtual wax-ups.

George House Dental is part of ALS Dental which is building Europe’s leading, most innovative dental manufacturing business by growing a group of first-class, forward-thinking laboratories in the Crown and Bridge, Prosthetics and Orthodontics fields.

Find out more about the ALS Dental Group.

Follow us on Instagram